Shigella Colitis In Babies

Shigella Colitis In Babies. (see below for more on this). Most bacterial diarrhea goes away on its own.

PPT Bacillary Dysentery (shigellosis) PowerPoint
PPT Bacillary Dysentery (shigellosis) PowerPoint from

(see below for more on this). In children aged 2 weeks to 1 year, the most common form of colitis is allergic colitis, which results from hypersensitivity, commonly to cow’s milk and soy milk. • transmission of enterotoxigenic e.

Common Causes Of Viral Colitis Include Norovirus, Rotavirus, Adenovirus, And.


Several bacteria present in the colon live in harmony with the body, causing no symptoms. Coli (etec) and enteropathogenic e. Difficile is a serious cause that can occur after being on strong antibiotics.

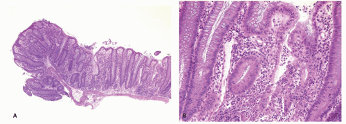
Is The Predominant Species Worldwide, S.


Are commercially available, but are limited in their availability in most health care settings. Both salmonella and shigella can be transmitted through contaminated food and water, personal contact or even from animals and objects (fomites). If enterocolitis also results in death of the tissues of intestine, it is termed as necrotizing enterocolitis.

In The Developing Region Of China, Shigella Was The Most Common Bacterial Agent Of Age 12.


Difficile is a serious cause that can occur after being on strong antibiotics. A few can cause a severe large bowel infection (such as shigella colitis). Symptoms develop over time, rather than all of a sudden.

Shigella Most Common Cause Of Acute Dysentery Worldwide (“Bacillary Dysentery”)1 Global Incidence:


This is the health problem where the body has lost too much fluid. Inflammatory bowel disease (ibd) (e.g., crohn's disease and ulcerative colitis) microscopic colitis (e.g., lymphocytic colitis and collagenous colitis) 1. If the blood is accompanied by diarrhea, then it can be an intestinal infection by bacteria such as shigella, salmonella, or campylobacter.

Shigella Bacteria Cause An Infection Called Shigellosis.


However, people with severe illness and those with underlying conditions that weaken the immune system should be given. Most bacterial diarrhea goes away on its own. Most bacterial diarrhea goes away on its own.